Hematodin

Singkap Wawasan Ilmu Baru, Terbuka Penjelasan Lengkap dan Keterangan Detail.

Hematodin. Get hematodin molecular formula, CAS number, boiling point, melting point, applications, synonyms and more here. Look it up now! "hematoidin" meaning in english, "hematoidin" definitions, synonyms of "hematoidin", definition of "hematoidin" Definition of "hematoidin" in famous dictionaries for free.

Pigments at Ross University School Of Veterinary Medicine ...
Pigments at Ross University School Of Veterinary Medicine ... (Carlos Gordon)
Get hematodin molecular formula, CAS number, boiling point, melting point, applications, synonyms and more here. How are the words Haematoidin and Hematoidin related? Information and translations of hematoidin in the most comprehensive dictionary definitions resource on the web.

Looking for online definition of hematoidin in the Medical Dictionary? hematoidin explanation free.

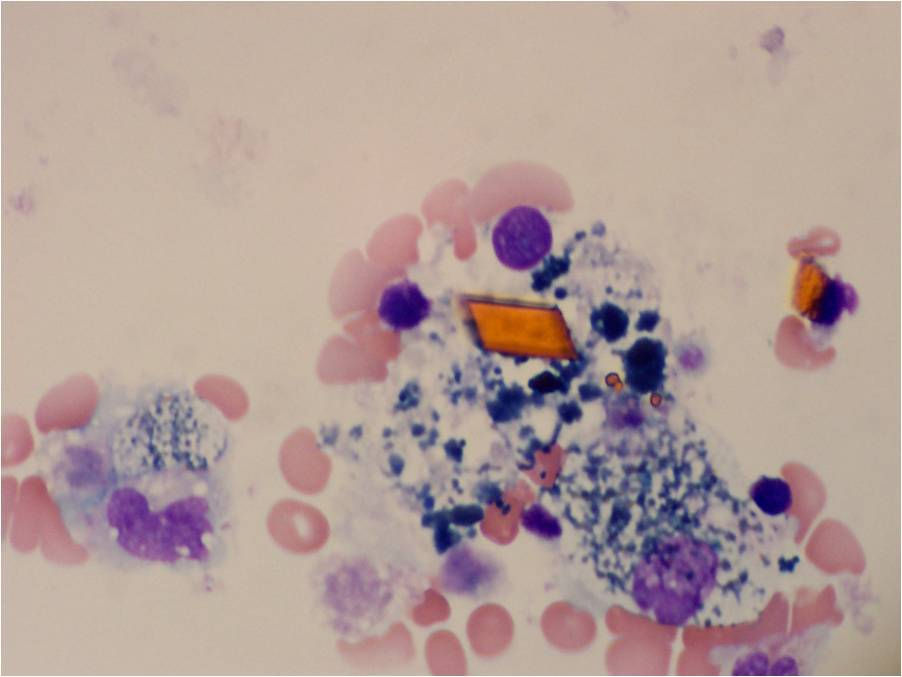
HEMATOIDIN, an orange-yellow pigment in the bile that forms as a product of hemoglobin; excess amounts in the blood produce the yellow appearance observed in jaundice.

Hematology Cell ID Practical 1 Flashcards | Quizlet

Lab FInal at Kansas State University - StudyBlue

Comparative Placentation

CSF fluid Analysis flashcards | Quizlet

Hematoidin crystal in CSF

Caught today in neonatal CSF: hematoidin crystal with ...

P2277 - Bowel-Associated Dermatosis-Arthritis Syndrome ...

Photomicrograph of a hematoxylin and eosin slide showin ...

Wix.com cell-abrations type 1 created by em10390 based on ...

Starts with h, ends with n, five consonants, five vowels and four syllables. H. is formed intracellularly, presumably within. How are the words Haematoidin and Hematoidin related?

close